
苗栗一位65岁的黄姓男子长期深受便秘所苦,因饮食控制无法改善,所以每天都服用强力软便剂,甚至每隔两三天无法解便时,就会自行灌肠。
近日,黄男因连续3天无法解便而自行灌肠,却发现没有效果,于是改用更长的管子,把泻药送入直肠深处灌肠,没想到竟突然引发剧痛,被家人紧急送至大千综合医院急诊,经安排电脑断层扫描后赫然发现,在直肠上端处有一个巨大的破洞,粪水随着破洞流进腹腔,引发严重的腹膜炎。

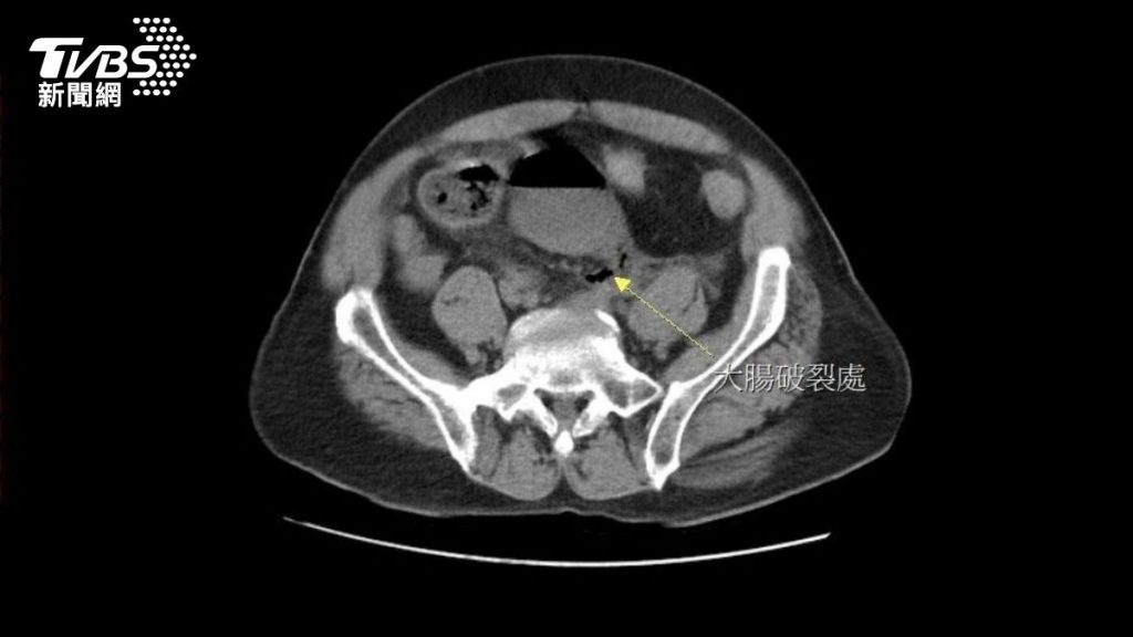
外科部主任冯启彦紧急进行腹腔镜手术,术中发现直肠上端靠近乙状结肠的转弯处,有一个直径2公分的破洞,研判应是太用力灌肠造成的肠道破裂。而这个破洞也让大量的宿便流进腹腔,才会引发严重的腹膜炎。所幸,病人在接受手术后顺利康复,也吓得直呼“再也不敢自己随意灌肠了!”

冯启彦主任说明,便秘是现代人常见的问题,改善方式建议先从调整饮食、培养生活习惯及规律运动着手,其中调整饮食包括增加膳食纤维,多吃蔬菜、水果、全谷类;此外,摄取足够水分(每日饮水约1500到2000毫升)、补充益生菌等,能促进肠道健康。
培养生活习惯则包含培养定时排便的习惯,如厕时不要久坐,可使用椅凳让双腿抬高,帮助放松骨盆底肌肉;有便意时要立即如厕,不可忍耐。
如果上述的方式仍无法改善便秘问题,建议可寻求医师协助,经医师评估状况后安排适合的药物。若粪便阻塞严重时,医师可能会使用灌肠剂来润湿和软化粪便,再以手动移除粪便。
灌肠是在便秘时一种刺激排便的急救方式,但应该在医师指示下谨慎使用且不宜长期依赖,因为过度使用可能导致肛门撕裂伤、痔疮破裂出血、大肠黏膜受损等,甚至像此次案例引发肠道破裂,导致腹膜炎。
